料金
症例
menu
close
アクセス
当院について
東京八重洲キュア矯正歯科
院内紹介
デジタル矯正設備
グループ内転院制度
治療内容
治療について
治療の流れ
カウンセリング
裏側矯正
マウスピース型矯正
部分矯正
ハーフリンガル矯正
表側矯正
コンビネーション矯正
歯科矯正用アンカースクリューを用いた矯正
外科矯正(サージェリーファースト)
結婚式に向けた矯正
矯正基礎知識
矯正法・費用・期間・医院選び
一般的なリスクや副作用について
料金表
料金一覧
お得な定額費用制度
デンタルローン
医療費控除
症例紹介
矯正ガイド
当院の総院長・院長
よくある質問
矯正のご相談・未成年・学生の方へ
カウンセリングの流れ
instagram
TIKTOK
YouTube
ブログ
矯正コラム
表側矯正
TOP
当院の症例
表側矯正
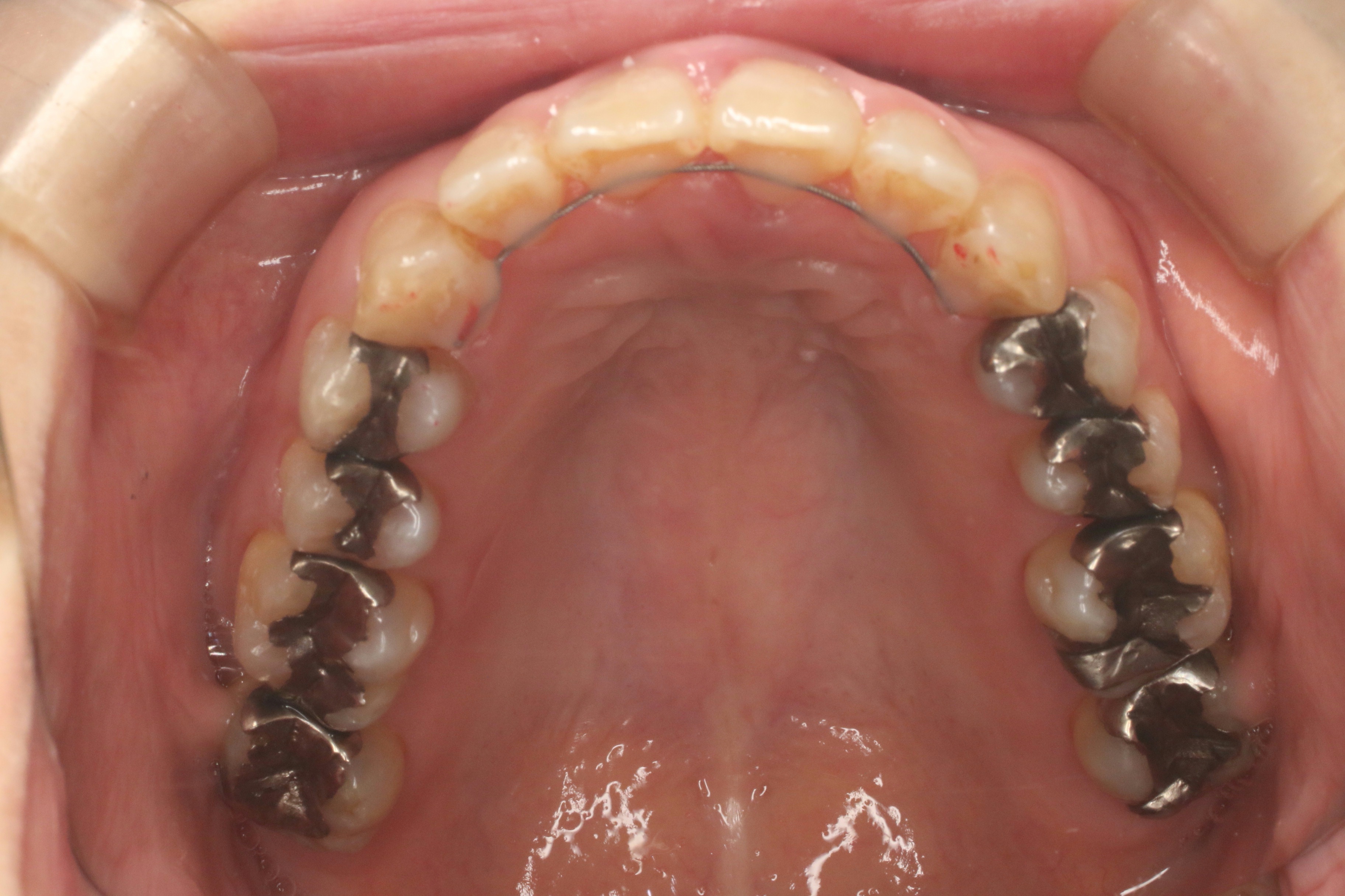
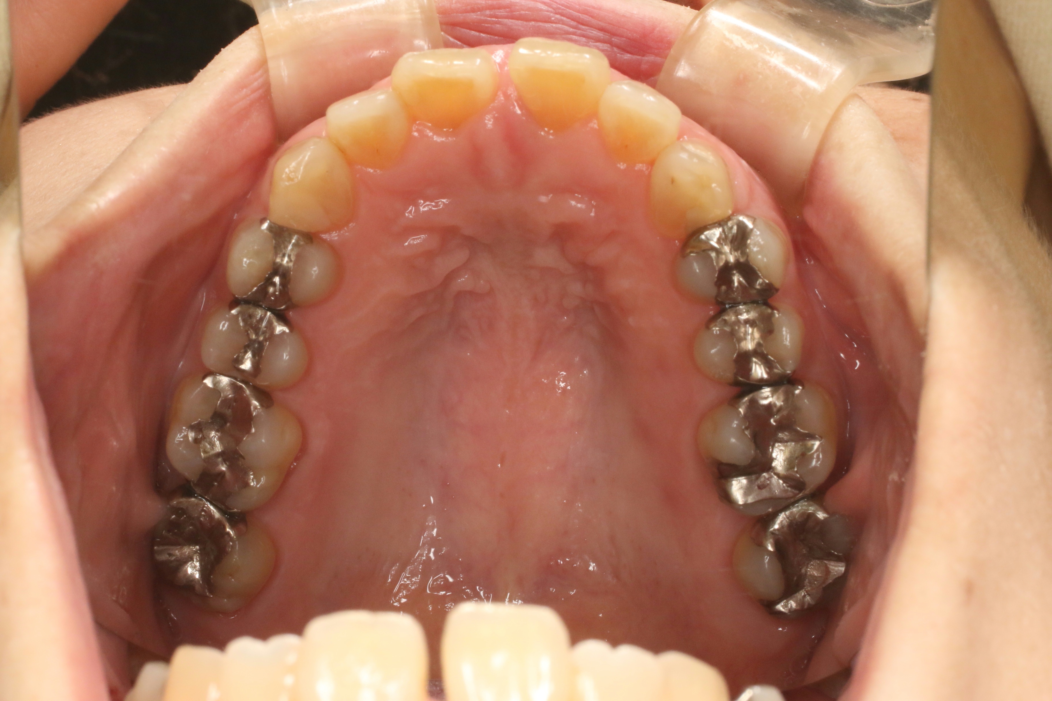
すきっ歯(空隙歯列)を治したい
すきっぱ(治療期間:1年/通院回数12回)
年齢層
50代
性別
女性
主訴
すきっぱ
治療費用
1,177,000円
治療期間
1年
抜歯
非抜歯
矯正の装置
ラビアル
副作用、リスク
・知覚過敏・痛み・発音障害・体質により金属アレルギーの発症・歯肉退縮・歯根吸収・ブラックトライアングル(歯と歯の間の根元にできる隙間)・歯磨きが上手く出来ない場合、むし歯や歯周病が進行・保定が不十分の場合、後戻りの可能性
Before
After
詳しく見る
キーワードから探す
裏側矯正
マウスピース型矯正
ハーフリンガル矯正
表側矯正
部分矯正
歯科用アンカースクリューによる矯正
外科矯正
コンビネーション矯正
ガチャ歯
出っ歯
受け口
ガミースマイル
開咬
噛み合わせが深い
すきっ歯
真ん中がずれている
Eライン・口ゴボ
カテゴリーから選ぶ
治療方法
裏側矯正
マウスピース型矯正
ハーフリンガル矯正
表側矯正
部分矯正
歯科用アンカースクリューによる矯正
外科矯正
コンビネーション矯正
お悩み
ガチャ歯
出っ歯
受け口
ガミースマイル
開咬
噛み合わせが深い
すきっ歯
真ん中がずれている
Eライン・口ゴボ
WEB予約
治療ガイド