料金
症例
menu
close
アクセス
当院について
東京八重洲キュア矯正歯科
院内紹介
デジタル矯正設備
グループ内転院制度
治療内容
治療について
治療の流れ
カウンセリング
裏側矯正
マウスピース型矯正
部分矯正
ハーフリンガル矯正
表側矯正
コンビネーション矯正
歯科矯正用アンカースクリューを用いた矯正
外科矯正(サージェリーファースト)
結婚式に向けた矯正
矯正基礎知識
矯正法・費用・期間・医院選び
一般的なリスクや副作用について
料金表
料金一覧
お得な定額費用制度
デンタルローン
医療費控除
症例紹介
矯正ガイド
当院の総院長・院長
よくある質問
矯正のご相談・未成年・学生の方へ
カウンセリングの流れ
instagram
TIKTOK
YouTube
ブログ
矯正コラム
お知らせ
TOP
お知らせ
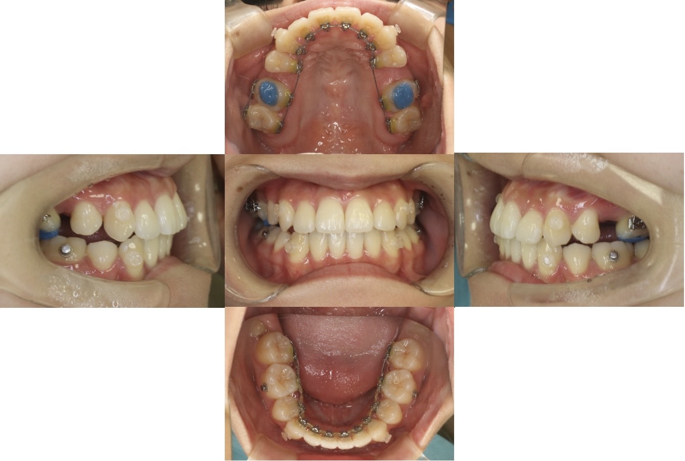
症例5枚法テンプレ – 2
症例5枚法テンプレ – 2
2025.12.17
一覧にもどる
WEB予約
治療ガイド