当院の症例
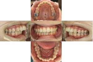
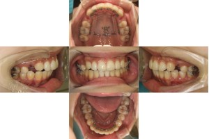
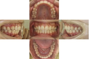
リンガル矯正なので上下裏側に装置を付けさせて頂きました。
上顎に小さなネジ(アンカースクリュー)を埋入し、歯を引っ張る土台(固定源)にして効率的に動かしていきます。

上顎両側4番目の歯を抜歯をして、口元を下げていきます。

上顎の傾斜と下顎のがたつきが取れ、綺麗な噛み合わせになりました。

| 年齢層 | 20代 |
|---|---|
| 性別 | 女性 |
| 主訴 | 出っ歯を改善したい |
| 治療費用 | 1,397,000円 |
| 治療期間 | 1年4ヵ月 |
| 抜歯 | 上顎両側4番 |
| 矯正の装置 | リンガル(上下裏側装置) |
| 副作用、リスク | 歯肉退縮,歯根吸収,疼痛,咬合の違和感,装置の違和感,虫歯,歯肉炎 |