menu
close

お知らせ

Untitled design – 2 (2)

2025.12.20

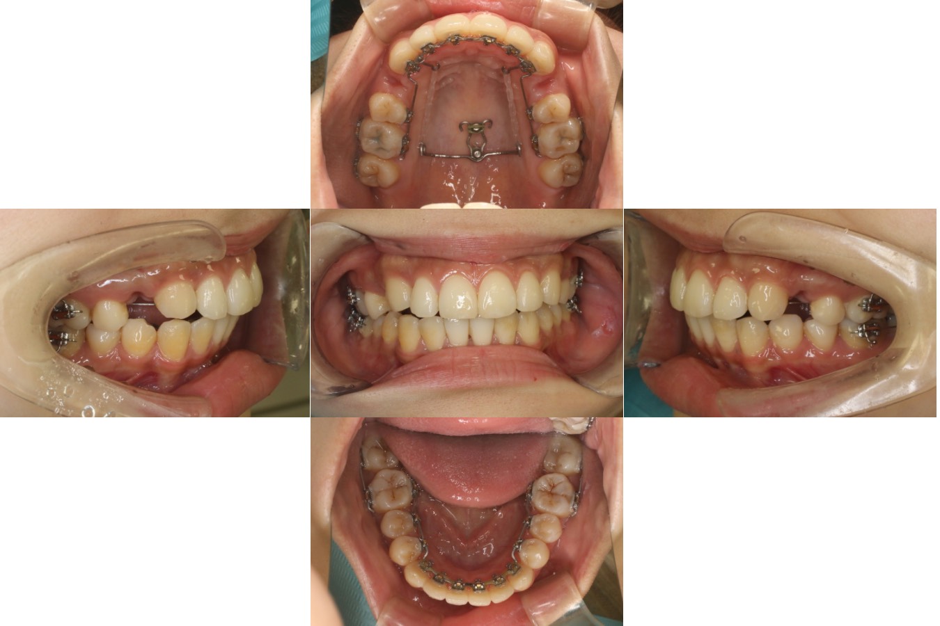
出っ歯・リンガル矯正の症例