当院の症例


半年経過の口腔内の状態です。
上顎左右ともに4番目、下顎右の1番目を抜歯し、裏側矯正(リンガル)で歯を動かしていきます。
現在の歯並びだと、下の歯が上の歯の装置にぶつかってしまうため、上の奥歯に「バイトアップ」という青い材料をつけてかみ合わせをあげています。

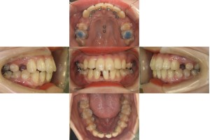
1年経過の口腔内の状態です。
抜歯した箇所のスペースが閉じてきました。

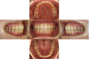
1年6カ月経過の口腔内の状態です。
全体のがたつきが改善されました。
※下顎左側7番目の歯ですが、患者様が治療期間を重視した為、同意のもと治療終了しています。
| 年齢層 | 20代 |
|---|---|
| 性別 | 女性 |
| 主訴 | 凸凹を治したい |
| 治療費用 | 1,397,000円 |
| 治療期間 | 1年6カ月 |
| 抜歯 | 上顎両側4番、下顎右側1番 |
| 矯正の装置 | リンガル(上下裏側装置) |
| 副作用、リスク | 歯肉退縮,歯根吸収,疼痛,咬合の違和感,装置の違和感,虫歯,歯肉炎 |