当院の症例

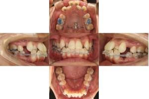
上下に装置が付きました。
上が裏側、下は表側矯正です。

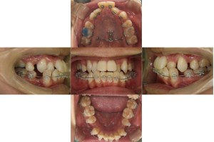
抜歯したスペースが埋まってきました。

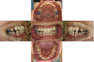
上の前歯が綺麗に並んできました。

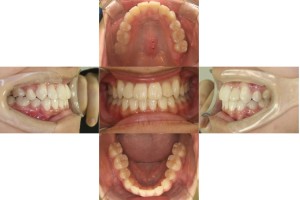
全体のがたつきがなくなり、綺麗な印象になりました。

| 年齢層 | 20代 |
|---|---|
| 性別 | 女性 |
| 主訴 | 凸凹を改善したい |
| 治療費用 | 1,287,000 |
| 治療期間 | 2年 |
| 抜歯 | 上顎両側4番、下顎両側4番 |
| 矯正の装置 | ハーフリンガル(上裏側、下表側の装置) |
| 副作用、リスク | 歯肉退縮,歯根吸収,疼痛,咬合の違和感,装置の違和感,虫歯,歯肉炎 |