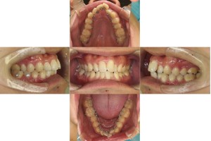
当院の症例

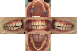
リンガル矯正なので上下裏側に装置を付けていきます。

非抜歯の矯正の為、歯と歯の間をやすりがけを行い隙間を作って並べていきます。

奥歯の水色のものは、噛み合わせを整えるために使用します。

全体的ながたつきが改善され印象が良くなりました。

| 年齢層 | 20代 |
|---|---|
| 性別 | 男性 |
| 主訴 | 凸凹を改善したい |
| 治療費用 | 1,397,000円 |
| 治療期間 | 2年 |
| 抜歯 | 非抜歯 |
| 矯正の装置 | リンガル(上下裏側装置) |
| 副作用、リスク | 歯肉退縮,歯根吸収,疼痛,咬合の違和感,装置の違和感,虫歯,歯肉炎 |