当院の症例


上の歯に装置を装着しました。裏側矯正(舌側矯正)で治療をしていきます。

アンカースクリューを使用して前歯の傾斜を少しづつ改善していきます。

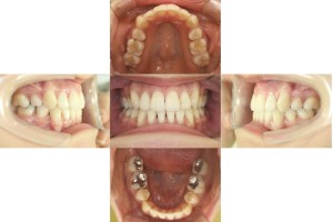
上下前歯の凸凹が改善し、噛み合わせもしっかり噛めている状態です。
| 年齢層 | 20代 |
|---|---|
| 性別 | 女性 |
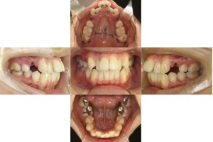
| 主訴 | ①上下前歯の凸凹②上の歯が出ている |
| 治療費用 | 1.397.000円 |
| 治療期間 | 3年(調整回数54回) |
| 抜歯 | 上下左右4番抜歯 |
| 矯正の装置 | リンガル |
| 副作用、リスク | ・知覚過敏・痛み・発音障害・体質により金属アレルギーの発症・歯肉退縮・歯根吸収・ブラックトライアングル(歯と歯の間の根元にできる隙間)・歯磨きが上手く出来ない場合、むし歯や歯周病が進行・保定が不十分の場合、後戻りの可能性 |