当院の症例


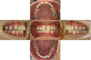
上の前歯にのみ装置を装着しました。

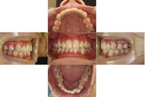
装置を装着して2か月が経過し、前歯の隙間が閉じてきています。

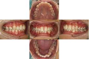
4か月で上の前歯が綺麗に並びました。
| 年齢層 | 20代 |
|---|---|
| 性別 | 女性 |
| 主訴 | すきっぱ |
| 治療費用 | 497200 |
| 治療期間 | 4か月 |
| 抜歯 | 非抜歯 |
| 矯正の装置 | 3┴3リンガル |
| 副作用、リスク | ・知覚過敏・痛み・発音障害・体質により金属アレルギーの発症・歯肉退縮・歯根吸収・ブラックトライアングル(歯と歯の間の根元にできる隙間)・歯磨きが上手く出来ない場合、むし歯や歯周病が進行・保定が不十分の場合、後戻りの可能性 |