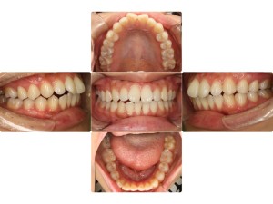
当院の症例


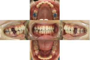
裏側に装置を装着し、噛み合わせを調整する台も装着しました。

前歯部の回転や傾斜を改善されてきています。

隙間が閉じてきています。

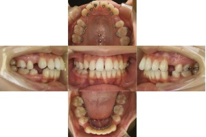
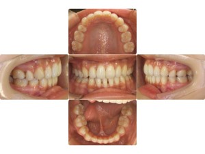
歯の隙間が閉じ、歯の並びや噛み合わせも改善されました。
| 年齢層 | 20代 |
|---|---|
| 性別 | 女性 |
| 主訴 | 口元を下げたい |
| 治療費用 | 1.397.000円 |
| 治療期間 | 2年8か月(調整回数29回) |
| 抜歯 | 上下左右4番抜歯 |
| 矯正の装置 | リンガル |
| 副作用、リスク | ・知覚過敏・痛み・発音障害・体質により金属アレルギーの発症・歯肉退縮・歯根吸収・ブラックトライアングル(歯と歯の間の根元にできる隙間)・歯磨きが上手く出来ない場合、むし歯や歯周病が進行・保定が不十分の場合、後戻りの可能性 |