menu
close

当院の症例

すきっぱ・八重歯 (期間:1年3か月/通院回数:16回)

すきっぱ・八重歯・リンガル矯正の症例

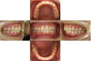
Before

すきっぱ・八重歯/リンガル矯正の症例

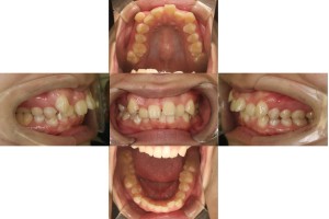
After

初診

 

すきっぱ・八重歯/リンガル矯正の症例

 

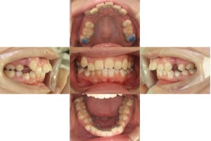
装置装着後

 

すきっぱ・八重歯/リンガル矯正の症例

上下ともに装置がつきました。

半年経過
すきっぱ・八重歯/リンガル矯正の症例

 

半年が経過し、隙間が閉じていき前歯が並んできました。

1年3か月経過
すきっぱ・八重歯/リンガル矯正の症例

1年3か月が経過し、隙間が閉じ綺麗に並びました。

年齢層 20代
性別 女性
主訴 すきっぱ・八重歯
治療費用 1.397.000円
治療期間 1年3か月
抜歯 上左右4番
矯正の装置 リンガル
副作用、リスク ・知覚過敏・痛み・発音障害・体質により金属アレルギーの発症・歯肉退縮・歯根吸収・ブラックトライアングル(歯と歯の間の根元にできる隙間)・歯磨きが上手く出来ない場合、むし歯や歯周病が進行・保定が不十分の場合、後戻りの可能性