東京八重洲キュア矯正歯科は、スタッフ全員が矯正経験者です。経験豊富な院長と治療を経験しているスタッフが患者様の不安やライフスタイルに寄り添います。歯列矯正専門クリニックなので装置の種類が豊富で働きながらの矯正治療のご相談も安心して当院にお任せください。東京駅徒歩1分の好アクセスで千葉や神奈川からの患者様も多く、夜間診療を行っていることもでも当院が選ばれています。



merits

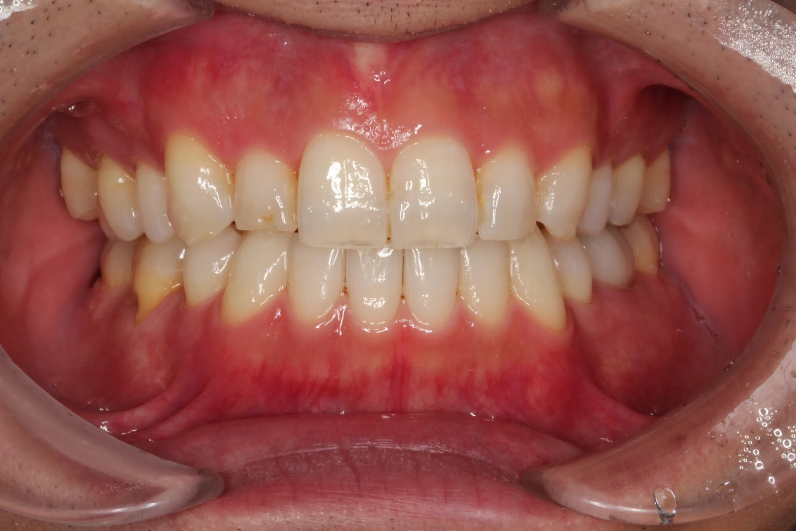
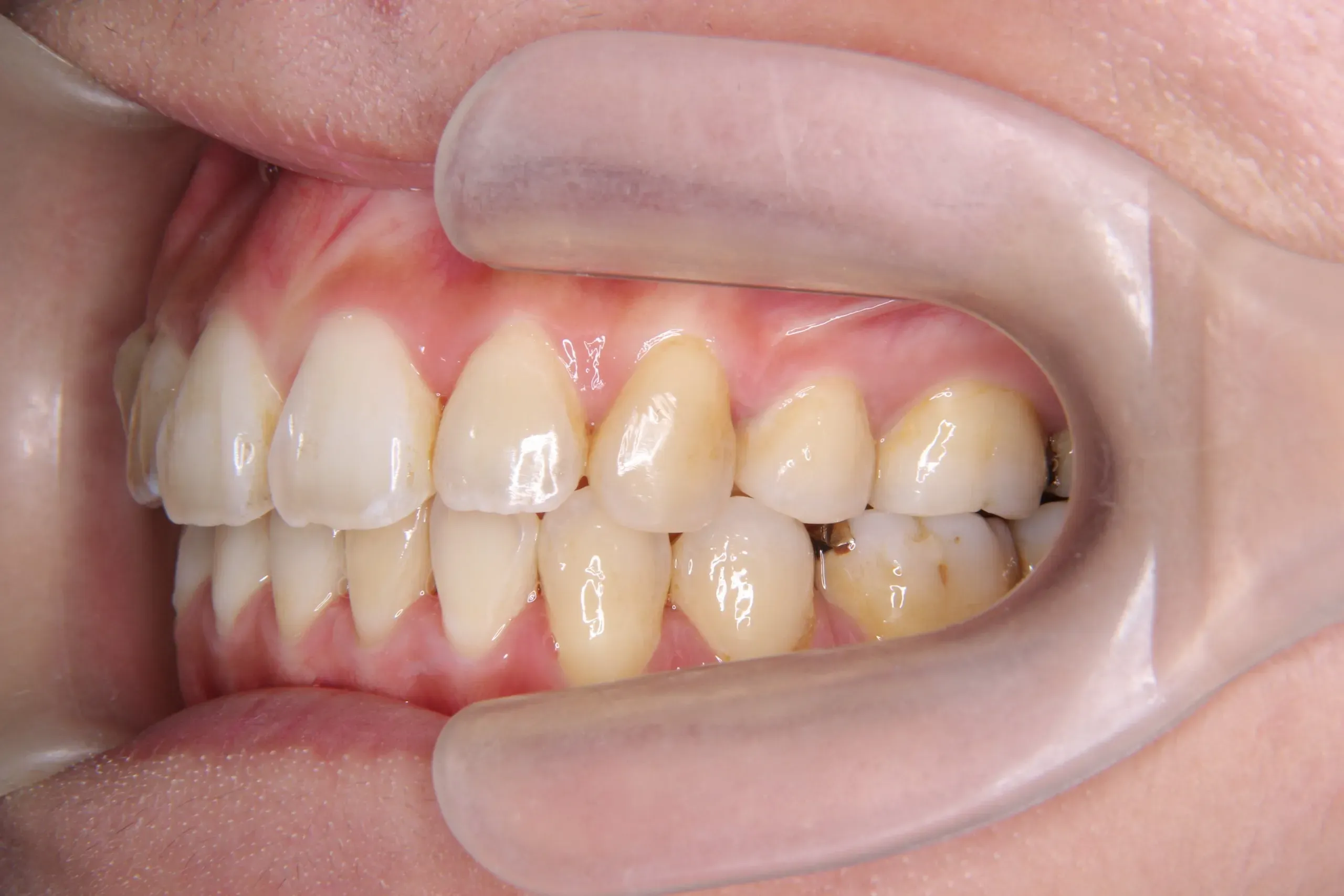
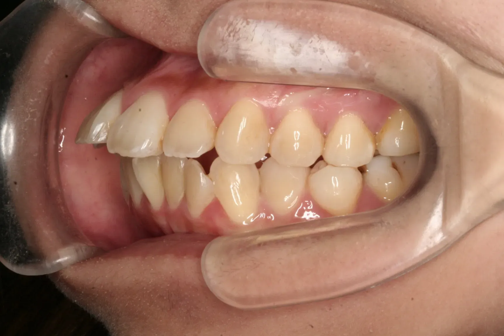
歯が前後にデコボコ
している状態

正常な咬み合わせで
はない状態

上の前歯が下の前歯
よりも出ている状態

下の前歯が上の前歯
よりも出ている状態






当院をご利用の患者様へ
ご安心ください。当院は安定した経営基盤のもと、長期的な医療提供をお約束します。
昨今、一部の脱毛サロン等において突然の営業終了や倒産により、契約中の患者さまにご不安・ご負担が生じているという報道が増えておりますが
当院においては、医療機関としての法的・制度的な整備を行い、長期的かつ安定した診療体制のもとで歯科矯正治療を提供しております
患者様が安心して相談できる環境を整え、強引な勧誘をせず、誠実で透明性のある信頼に基づいたカウンセリングを行います。
資料やビジュアルを活用し、どなたでも理解できる言葉で 、治療内容やゴールをイメージできる説明を丁寧に行います。
主訴(お悩み・ご意向)やライフスタイルを大切にし、患者様の声に耳を傾け、希望に沿った治療プランを共に考え寄り添います。
誠実さと思いやりを大切にし、安心と満足を提供することで、笑顔と自信に溢れる人生に導きます。
精密な技術と臨床経験をもとに、痛みと不安を和らげながら快適で質の高い治療を実現します。
医学的根拠に基づき、美しい歯並びと噛み合わせや機能性の両立を重視し、丁寧な説明と信頼関係の中で治療を共に進めます。
笑顔と温かいおもてなしの心で患者様を迎え、「来てよかった」と思っていただける空間をつくります。
スタッフ一人ひとりがプロとしての清潔感ある身だしなみと礼儀正しい行動で、安心感を提供します。
患者様に寄り添い、どんな疑問にも丁寧に応え、信頼関係を大切に育みホスピタリティを体現します。
日本矯正歯科学会臨床指導医(旧専門医)
東京医科歯科大学病院
歯科医師臨床研修指導歯科医
医学博士
| 住所 | 〒103-0028 東京都中央区八重洲1-6-17 大久保ビルディング6階 |
| 休診日 | 木曜/日曜/祝日 |
| 診察時間 | 平日…12:30-16:00/17:00-20:30 土曜…10:00-13:00/14:00-18:00 |
※土曜日が祝日の場合、翌診療日を休診とする