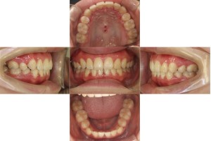
当院の症例


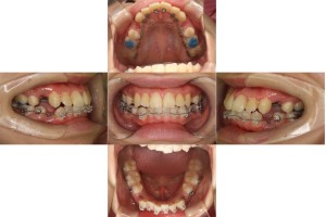
歯に装置を装着しました。上は裏側、下は表側のハーフリンガル矯正で治療をしていきます。

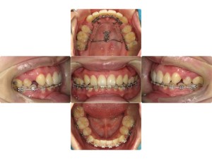
アンカースクリューを使用して前歯の傾斜を改善・口元を下げていきます。

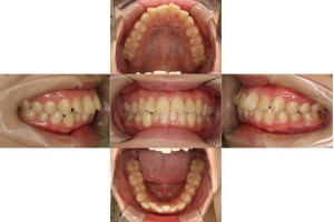
上下の前歯がしっかり下がり、口元がすっきりしました。
| 年齢層 | 20代 |
|---|---|
| 性別 | 女性 |
| 主訴 | 口元を下げたい |
| 治療費用 | 1.287.000円 |
| 治療期間 | 3年(調整回数36回) |
| 抜歯 | 上下左右4番抜歯 |
| 矯正の装置 | ハーフリンガル |
| 副作用、リスク | ・知覚過敏・痛み・発音障害・体質により金属アレルギーの発症・歯肉退縮・歯根吸収・ブラックトライアングル(歯と歯の間の根元にできる隙間)・歯磨きが上手く出来ない場合、むし歯や歯周病が進行・保定が不十分の場合、後戻りの可能性 |