menu
close

当院の症例

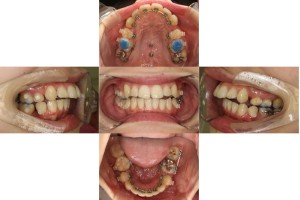
八重歯(治療期間3年:通院回数/36回)

リンガル矯正の症例

Before

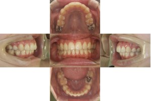
リンガル矯正の症例

After

初診

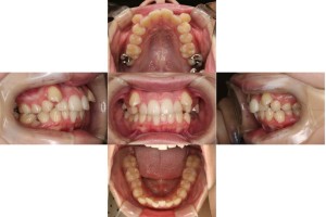
リンガル矯正の症例

 

 

1年後

リンガル矯正の症例

八重歯が改善されました。

 

2年後

八重歯・リンガル矯正の症例

カリエール(奥歯を効率よく後ろに移動させる固定式の矯正補助装置)を使用して上の前歯の突出感を改善していきます。

 

3年後

八重歯・リンガル矯正の症例

前歯の傾斜・かみ合わせが改善されました。

年齢層 20代
性別 女性
主訴 八重歯
治療費用 1.397.000円
治療期間 3年(調整回数36回)
抜歯 上左右4番・下左右5番抜歯
矯正の装置 リンガル
副作用、リスク ・知覚過敏・痛み・発音障害・体質により金属アレルギーの発症・歯肉退縮・歯根吸収・ブラックトライアングル(歯と歯の間の根元にできる隙間)・歯磨きが上手く出来ない場合、むし歯や歯周病が進行・保定が不十分の場合、後戻りの可能性